Все проекты

Avatar

3D-редактор с простым интерфейсом

В данном проекте представлен 3D-редактор с удобным интерфейсом и интуитивным управлением. Он подойдёт людям, которым нужно сделать несложные 3D-модели без больших затрат времени и сил на изучение сложных программ, таких как Blender или AutoDesk 3Ds Max.

Подробнее...


Avatar

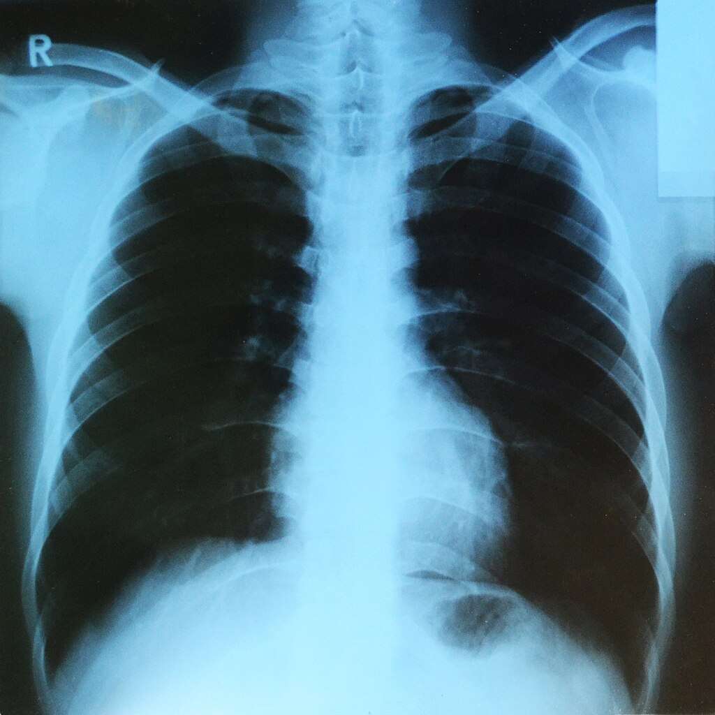
LungScan: веб-приложения для оценки рисков болезней лёгких на основе ИИ

Цель: Создание веб-приложения для идентификации степени развития болезней лёгких у пациентов медицинских организаций на основе искусственного интеллекта. LungScan — стартап-проект по созданию прототипа web-приложения для оценки рисков заболеваний лёгких с использованием искусственного интеллекта.

Подробнее...


Avatar

VR-тренажер «Сборка ПК»

Разработано VR-приложение для обучения сборке персональных компьютеров, решающее проблему дороговизны оборудования в образовании. Включает модули: каталог комплектующих, интерактивную сборку и тестирование. Создано на Unity с XR Toolkit и SteamVR. Обеспечивает безопасное практическое обучение без физических затрат.

Подробнее...


Avatar

Автоматизированная метеостанция с применением технологий IoT

Цель проекта — создание энергоэффективной и функциональной метеостанции с применением микроконтроллеров семейства ESP, протокола MQTT, средств связи LoRaWAN, для обеспечения сбора метеорологических параметров в режиме 365/24/7. Проект представляет собой реализацию концепции сети распределённых узлов-датчиков, систем хранения и накопления информации, обработки и её представления.

Подробнее...


Avatar

Внедрение гибридной энергосистемы на малом предприятии деревообработки

Предлагается гибридная энергосистема для малого деревообрабатывающего предприятия региона на основе интеграции возобновляемых и традиционных источников энергии, обеспечивающая снижения затрат на электроэнергию и сокращение углеродного следа предприятия. Цель-оптимизация процесса энергопотребления на малом деревообрабатывающем предприятии.

Подробнее...


Avatar

Жилет-сумка «Сигедек» с хакасскими орнаментами

Разработка и изготовление женского жилета трансформирующегося сумку в этническом стиле с элементами хакасского кроя и вышивки, спроектированных на основе хакасского национального жилета «сигедек». Изделие представляет собой цельную конструкцию, которая при застегивании трансформируется из жилета в сумку.

Подробнее...


Avatar

Игровая (сувенирная) кукла в хакасском национальном костюме

Разработка и изготовление игровой (сувенирной) куклы в хакасском национальном костюме для популяризации хакасской культуры среди детей дошкольного и младшего школьного возраста, а также туристов через интерактивный подход. Для детей Хакасии такая игрушка станет способом укрепления связи с малой Родиной, формирующей чувство гордости и принадлежности к своему региону.

Подробнее...


Avatar

Игровой набор для кукольного театра «Хакасские сказки»

Cоздание этнографического набора, как дидактического средства обучения хакасскому фольклору детей дошкольного и младшего школьного возраста, передающего национальную айдентику Республики Хакасия, позволяющего познакомить детей с культурным кодом хакасского народа.

Подробнее...


Avatar

Интеллектуальная система управления микроклиматом в теплицах

Разработка и внедрение отечественной интеллектуальной системы управления микроклиматом в теплицах, способной самостоятельно корректировать параметры выращивания в зависимости от типа растений и внешних условий, что позволит повысить эффективность агропромышленного производства и снизить производственные издержки.

Подробнее...


Avatar

Информационная система "Мой ИТИ"

Создание информационной системы, формирующей единое информационное пространства для студентов и преподавателей. Доступ к критически важным ресурсам, таким как расписание занятий, уведомления о различных событиях через WEB и посредством мобильных приложений.

Подробнее...


Avatar

Каменная летопись Хакасии

Проект создает интерактивную, имитирующую композицию в виде каменной писаницы со встроенным QR-кодом. Целью является сохранение культурного наследия. Сканируя код, посетители получают аудиогид о петроглифах и истории региона. Это повышает вовлечённость туристов и местных жителей в изучение древнего наследия.

Подробнее...


Avatar

Коллекция детской одежды «Палалар» в этническом стиле

Разработка авторской коллекции детской одежды «Палалар» в этническом стиле для детей дошкольного и младшей школьного возраста, с применением промышленных цифровых технологий, как способ передачи историко-культурного наследия хакасского народа младшему поколению и современной и доступной для данной возрастной группы форме.

Подробнее...


Avatar

Мобильное приложение "MeowChinese" для изучения китайского языка

«MeowChinese» — мобильное приложение для изучения китайского языка, объединяющее интерактивные тесты, упражнения на иероглифы и тоны, чтение адаптированных текстов, аудиотренировки и ролевой чат с нейросетью для практики диалогов. Цель — обеспечить увлекательное, комплексное и персонализированное обучение через игровые механики и иммерсивные сценарии

Подробнее...


Avatar

Набор для творчества «Часы-раскраска «Моя Хакасия»

Проектирование и изготовление интерактивного турпродукта «Набор для творчества «Часы-раскраска «Моя Хакасия», передающего национальную айдентику Республики Хакасия, позволяющего познакомить туристов с культурным кодом хакасского народа для потребителей разновозрастной группы.

Подробнее...


Avatar

Набора для творчества «Картонный домик для детей «Хакасская юрта»

Цель проекта − помочь детям понять устройство юрты, изучить внутреннее расположение предметов, а также познакомить с культурой хакасов через игру. Концепция набора − воспроизвести традиционное хакасское жилище в удобном для домашнего творчества формате. Проект идеально вписывается в современный тренд STEAM (Наука, Технология, Инженерия, Искусство, Математика).

Подробнее...


Avatar

Пожар в ИТИ

Проект «Пожар в ИТИ» представляет собой разработку инновационного компьютерного игрового тренажера, направленного на обучение правилам пожарной безопасности и отработку навыков эвакуации из второго корпуса ХГУ. Цель проекта — разработка компьютерного игрового тренажера по эвакуации из второго корпуса Хакасского государственного университета им. Н.Ф. Катанова.

Подробнее...


Avatar

Разработка приложения для детей с расстройствами аутистического спектра

Проект направлен на создание специализированного веб-приложения для детей с расстройствами аутистического спектра. Программный продукт предоставляет цифровые инструменты для структурирования занятий, визуальной поддержки, сбора данных и анализа динамики развития. Цель проекта: разработать приложение для детей с расстройствами аутистического спектра для организации и проведения занятий с использованием методики прикладного анализа поведения

Подробнее...


Avatar

Разработка туристического маршрута «Энергетическая Одиссея: Тайна трех стихий (огня, воды, солнца)»

Цель: Разработка уникального туристического маршрута, направленного на популяризацию промышленного туризма в Хакасии. Разработан авторский экскурсионный маршрут, на котором представлены сразу три типа генерации электроэнергии: тепловая, гидро- и солнечная станции. Разработан дизайн-проект рекламного буклета маршрута.

Подробнее...


Avatar

Система автоматизации создания дипломов, грамот, сертификатов и другой именной печатной продукции

Цель проекта - разработка информационной системы для создания именной наградной печатной продукции: сертификатов, дипломов, грамот, баннеров и пр. Проект позволяет осуществлять массовую генерацию высококачественных наградных и иных документов по заданным пользователем шаблонам. Шаблоны редактируются и создаются самим пользователем, специальные навыки графического дизайна не требуются.

Подробнее...


Avatar

Система учета участия учителей в мероприятиях «АктивУчет»

Приложение разработано с учетом специфики деятельности завуча по учебно-воспитательной работы школы в направлении учета участия учителей в мероприятиях. Целью разработки является создание удобного инструмента по мониторингу активности учителей, хранению информация о мероприятиях и сопутствующей документации.

Подробнее...


Avatar

Экосистема управления расписанием

Экосистема автоматизирует процесс хранения, редактирования и представления расписания учебных занятий. Система настольного и мобильного клиента призвана способствовать решению проблемы фрагментированности данных, неудобства доступа к актуальной информации для участников учебного процесса

Подробнее...


Avatar

Эффективные технологии приготовления бетонной смеси с микрокремнезёмом

Исследована модификация бетонов с микрокремнеземом в сочетании с суперпластификаторами. Высокодисперсные частицы МКЗ заполняют поры цементного камня и вступают в пуццолановую реакцию, что уплотняет структуру бетона и повышает его прочность, водонепроницаемость и долговечность, морозостойкость. Цель: оптимизация составов с МКЗ на сырьевой базе республики Хакасия.

Подробнее...